Zum Inhalt springen

Nervenblockaden

Im Juli 2013hat das Bundesinstituts für Arzneimittel und Medizinprodukte BeFarM die Anwendung von Kortison eingeschränkt:
Es darf kein Kortison mehr an den Nerv gespritzt werden, da es sich dabei um einen so genannten "Off-Label-Use" handelt, d.h., eine nicht zugelassene Anwendung. Nur die Injektion in Gelenke bleibt zulässig. Spritzen sollen nur noch mit den kurz wirksamen lokalen Betäubungsmitteln erfolgen. Diese haben allerdings keinen entzündungshemmenden Effekt und wirken deutlich kürzer. Damit wird eine seit mehr als 30 Jahren gebräuchliche und bewährte Praxis aus dem Leistungskatalog der Krankenkassen gestrichen.

Nervenblockaden oder sacrale Blockaden können nur noch nach spezieller Aufklärung stattfinden, eine Übernahme der Kosten durch die Krankenkassen erfolgt nicht mehr.

Ich bedauere sehr, Ihnen diese bewährte Therapie nicht mehr als Kassenleistung anbieten zu können.

Nervenblockaden

ultraschallgesteuerte Injektion

ultraschallgesteuerte Injektion

Geht der Schmerz von einer Nervenwurzel aus, kann dieser mit der Gabe eines Gemisches von Schmerzmedikamenten direkt am Ort des Geschehens behandelt werden. Dazu wird eine dünne Nadel unter Röntgenkontrolle in die Nähe des betroffenen Nervs gebracht und der Schmerz ausgeschaltet.

Anwendungsgebiete:
-ausstrahlende Rückenschmerzen an der gesamten Wirbelsäule
-Nacken- und Hinterkopfschmerzen
-Interkostalneuralgien an der Brustwirbelsäule (gürtelförmig ausstrahlender Brustkorbschmerz)
-Behandlung von Restrückenschmerzen (Failed back-syndrom) nach Bandscheibenoperationen
-Periphere Nervensyndrome, einschließlich narbenbedingter Nervenschmerzen

Verfahren:
Der Eingriff erfolgt ambulant und dauert etwa 10 min. Unter genauer Röntgenkontrolle erfolgt eine Injektion von Depot-Cortison und einem lokalen Betäubungsmittel, um die Entzündungsreaktionen zu blockieren.

Wichtige Information:
- Je nach Ausgeprägtheit des Krankheitsbildes zeichnet sich dieser Eingriff durch eine hohe Erfolgsquote aus.
- In den meisten Fällen hält die Schmerzlinderung bzw. die Schmerzfreiheit mehrere Monate an.
- Je öfter die Blockade erfolgt, umso erfolgreicher ist sie.
- Kombination mit anderen Verfahren möglich.
- Es kann zu einer Schwäche der betreffenden Muskulatur für ca. 1 Stunde kommen, das ist der Effekt des lokalen Betäubungsmittels.

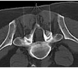
Facettenblockaden

2 dünne Nadeln werden an den Gelenkspalt geführt

Hierbei werden die Gelenke und die Gelenkkapseln behandelt. An der Wirbelsäule befinden sich 52 Gelenke, jedes davon kann Schmerz verursachen. Vielleicht kennen Sie einen verstauchten Finger, der über Wochen schmerzt, genau so ist es auch an unserer Wirbelsäule.

Eine differenzierte Diagnose, um welche Form des Rückenschmerzes es sich handelt, erfolgt vor jeder Behandlung, so auch die Bestimmung des Schmerzauslösers.

- Rückenschmerzen (Facettensyndrome) an der gesamten Wirbelsäule
- Nacken- und Hinterkopfschmerzen
- Leisten- und Ileosakralgelenksschmerz
- Behandlung von Restrückenschmerzen (Failed back-syndrom) nach Bandscheibenoperationen an der LWS (ausstrahlend)
- Periphere Nervensyndrome, einschließlich narbenbedingter Nervenschmerzen
- Epicondylitiden (Tennisellenbogen, Golferellenbogen)

Verfahren:

Der Eingriff erfolgt ambulant und dauert je nach Anzahl der zu behandelnden Gelenke 10-20 min. Unter Röntgenkontrolle erfolgt die Injektion eines Depot-Cortison und eines lokalen Betäubungsmittel. Der Effekt ist zumeist bereits nach 30min spürbar.

Sakrale Blockaden, Peridurale Blockaden

Bei der periduralen oder sakralen Blockade oder landläufig auch Rückenmarksnarkose genannten Infiltration und Überflutung des Nervenwurzelschlauchs (Kaudalsack) im Bereich der unteren Lendenwirbelsäule wird über einen kleinen Zugang im Kreuzbein (Hiatus sakralis) eine Kanüle oder ein Katheter in die Nähe des Nervenwurzelsacks vorgeschoben und dann ein Narkosemittel mit ggf. Beimengungen von Cortison oder einem Enzym appliziert.

Darunter soll es zu einer Blockierung der unteren Lenden- und Sakralnervenwurzeln, welche z. B. durch einen Bandscheibenvorfall oder durch eine Wirbelkanaleinengung gereizt sind, kommen. Die Schmerzen sollen reduziert werden und zudem eine Abschwellung der gereizten Nervenwurzeln erfolgen. Erfahrungsgemäß beträgt die Erfolgsquote 60-70%. Es werden 6-12 Injektionen in unterschiedlichen Zeiträumen erforderlich sein.

Zu den Injektionen bedarf es einer Überwachung in der Praxis von mindestens 30 Minuten Dauer. In der Zeit werden Puls und Sauerstoffsättigung des Blutes oder auch gelegentlich eine EKG-Ableitung durchgeführt. Weiterhin kann gelegentlich die Anlage einer Infusion erforderlich sein.

Unter dieser intensiven Schmerztherapie kann es gelegentlich zu einem Taubheitsgefühl oder auch zu einer Schwäche des Unterleibs und der Beinmuskulatur kommen, welche einen längeren Aufenthalt in der Praxis erforderlich machen würden. Erfahrungsgemäß verschwindet diese zum Teil gewollte Anästhesie und Schmerzfreiheit der unteren Körperhälfte nach 3 Stunden, ähnlich einer Betäubung zu einer zahnärztlichen Behandlung.