Glossar
Arthrose bezeichnet einen Gelenkverschleiß, der das Altersmaß überschreitet.
Sie kann auch die Wirbelgelenke betreffen und Ursache von Rückenschmerzen sein
Sicht-oder Hörbarmachen von biologischen Signalen, für die normalerweise keine Wahrnehmung existiert. z.B.:Herzfrequenz, Hautwiderstand, Entspannungszustand der Gefäße
Synonym zu: Schaufensterkrankheit
Bezeichnet eine Einschränkung der Gehstrecke. Ursachen können verengte Gefäße der Beine sein, dann als Claudicatio intermittens bezeichnet. Beschwerden dann zumeist im Unterschenkel und zunehmend bei körperlicher Belastung.
Die Claudicatio spinalis bezeichnet die Symptome eines engen Spinalkanal. Die Symptome bessern sich beim Bücken, Fahradfahren ist zumeist ohne Einschränkung möglich.
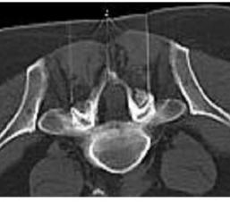
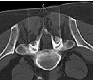
Das CT ist als Röntgenuntersuchung besonders geeignet für die Darstellung von Knochen. Weniger gut werden Bandscheiben und Nerven sichtbar.
Umgangssprachlich wird sie auch als die "kleine Röhre" bezeichnet, da die Gerätetiefe nur etwa 40 cm beträgt. Platzangst brauchen Sie hier nicht zu befürchten!
Nachteil ist die nicht unerhebliche Strahlenbelastung.
Der Patient liegt auf einem verschieb- baren Untersuchungstisch.
Röntgenröhre und Detektor werden kreisförmig um die zu untersuchende Körperregion gedreht.
Nur bei besonderen Fragestellungen ist es sinnvoll Kontrastmittel für eine CT-Untersuchung zu geben.
Ohne Übertreibung kann gesagt werden, daß die neurochirurgische Diagnostik mit Einführung der CT in den 70er Jahren eine neue Dimension erhalten hatte.
In der heutigen Generation stehen hochentwickelte CT- Geräte zur Verfügung.
Dorsal Colum Stimulation, Stimulation der Rückenmarks-Hinterstrangbahnen
Synonyme: SCS, Neuromodulation
Indikationen sind vorwiegend neuropathische, ins Bein ziehende, chronische Schmerzen oder eine therapieresistente Angina pectoris.
Nerven verhalten sich ähnlich wie elektrische Kabel. Die verschiedenen Funktionen der Nerven können mit einem Meßgerät gemessen werden. Dazu werden Klebeelektroden auf die Kennmuskeln geklebt und der Nerv mit kleinen elektrischen Impulsen gereizt. Die Methode findet Anwendung z.B. bei der Diagnose eines Karpaltunnelsyndroms, einer Rückenmarkschädigung oder einer Polyneuropathie.
Wir verfügen über ein 8 Kanal Gerät.
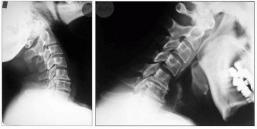
Dies sind Röntgenaufnahmen von derselben Stelle, die in verschiedenen Körperpositionen aufgenommen werden, bei der Wirbelsäule zumeist in Vor- und Rückneigung. Sie dienen der Diagnose von Gleitwirbeln.
Einengung der Nervenkanäle (Foramina) seitlich der Wirbelsäule. Führt zu anhaltender Nervenreizung mit Schmerzen. Ursache zumeist degenerativ
Laut § 12 SGB V steht dem Patienten durch die gesetzlichen Krankenkassen Leistungen zu, die wirtschaftlich, ausreichend, notwendig und zweckmäßig sind.
„Die Leistungen (z. B. Behandlungen, Untersuchungen und auch Arzneimittel) müssen ausreichend, zweckmäßig und wirtschaftlich sein; sie dürfen das Maß des Notwendigen nicht überschreiten. Leistungen, die nicht notwendig oder unwirtschaftlich sind, können Versicherte (Patienten) nicht beanspruchen, dürfen die Leistungserbringer (z. B. Ärzte) nicht bewirken und die Krankenkassen nicht bewilligen.“
Alles darüber hinausgehende ist eine IGEL Leistung, da sie über das vom Gesetzgeber definierte Maß einer ausreichenden und notwendigen Patientenversorgung hinausgehen.
Synonym: ISG, Beckeneckgelenk
Verbindung zwischen Becken und Kreuzbein. Kann bei Blockaden Rückenschmerzen mit Ausstrahlung in die Leiste verursachen. Zumeist liegt eine Blockade als Folge einer anderen Erkrankung (Schongang, Lähmung, Schmerzen) vor und führt gerne zur ungenauen Diagnose "ein Bein ist kürzer".
Synonyme: MRT, Magnet-Resonanz-Tomographie, "große Röhre"
Diagnostische Technik zur Darstellung der inneren Organe und Gewebe mit Hilfe von Magnetfeldern. Röntgenstrahlen kommen nicht zum Einsatz. Besonders geeignet ist die Technik zur Darstellung von Nerven- und Bandscheibengeweben. Damit ist sie die bevorzugte Untersuchung bei Wirbelsäulenerkrankungen.
Die MRT beruht nicht auf Röntgentechnik, sondern benutzt das unterschiedliche Rotationsverhalten von Atomen in einem Magnetfeld als Prinzip zur Bildherstellung.
Unterschiedliche Gewebe können mit sehr hoher Detailerkennbarkeit dargestellt werden.
Wichtig: Teilen Sie dem Arzt mit, ob sich Metallteile oder Schrittmacher in Ihrem Körper befinden und ob Sie unter Platzangst leiden.
Alle Therapieformen, die keine Operation beinhalten, z.B.:
- Ruhe
- Wärme
- Krankengymnastik
- Infusionen
- Medikamente
- Spritzen
- Infiltrationen
- Sport
- Akupunktur
- TCM
- TENS
- Entspannungsübungen
Operationen , die unter einem leistungsstarken Operationsmikroskop durchgeführt werden. Wir verwenden das OPMI der Firma Zeiss.
Die Myelograhie dient der speziellen Darstellung des Wirbelkanals im Röntgen-Bild. Dazu wird zunächst durch Lumbalpunktion ein wasserlösliches Kontrastmittel in den Wirbelkanal eingebracht. Die Untersuchung wird bei besonderen Fragestellungen betreffs raumfordernder Prozesse des Spinalkanals, oder bei der Diagnostik ausgeprägter degenerativer Veränderungen im Bereich von Hals- oder Lendenwirbelsäule eingesetzt.
Wörtlich übersetzt: Rückenmarkserkrankung. Meistens tritt sie in Zusammenhang mit einer Rückenkanalsstenose im Halsbereich auf, dann wird sie als cervikale Myelopathie bezeichnet. Sie geht mit Gangstörung (das Gehirn erhält keine Lageempfindungen mehr), Gefühlsstörungen, Lähmungen und Spastik einher.
Zwischen 2 Wirbelkörpern verlässt auf jeder Seite eine Nervenwurzel den Wirbelkanal. Die einzelnen Nervenstränge werden von der harten Hirnhaut geschützt. Das Nervenbündel besteht aus einem Gemisch von Fasern, die Informationen an das Gehirn leiten (Schmerz, Stellung der Gelenke, Gefühl) und solchen, die Befehle vom Hirn an die Muskeln leiten. Je nach Aufgabe der Fasern sind diese unterschiedlich dick. Bei Druck auf eine Nervenwurzel werden zuerst die dünnen und empfindlichen Schmerzfasern aktiviert, man spricht von einer Nervenreizung. Bei weiterem Druck kann es zu einer Schädigung kommen, die zuerst einen Ausfall der Gefühlsfasern (Taubheit) und später auch eine Schädigung der robusten Bewegungsnerven (Lähmung) bedeutet. Jetzt können die Schmerzfasern "ihren Dienst" einstellen: "Die Schmerzen gehen, die Lähmung kommt".
Eine Schädigung, die zu einem Nervenschaden mit Funktionseinbußen führt. Symptome sind Lähmungen, Gefühlsausfälle, Störungen der Feinmechanik und des Tastsinns, Blasen-Mastdarmstörungen. Im Bereich des Kopfes können Sehstörungen, Doppelbilder, Verschlucken oder Hörverlust auftreten.
Ein Sonderfall ist das neuropathische Schmerzsyndrom.
Synonyme: neuropathisches Schmerzsyndrom, Nervenschmerzen.
Nerven sind vereinfacht dargestellt mit einem elektrischen Kabel zu vergleichen. Bei der Neuropathie kommt es zu Isolations- oder Kabelbrüchen. Dabei können Nerven, die für Gefühl oder Bewegung zuständig sind, Schmerznerven anregen. Typisches Beispiel ist die Trigeminusneuropathie oder -neuralgie, wo Berührung zu stärksten Schmerzattacken führt.
Treten die Beschwerden zuerst in den Beinen auf so liegt zumeist eine Schädigung der kleinen Nervenenden vor. Die Symptome sind Brennen und Gefühlstörungen, zumeist wird es als beidseitig auftretend und strumpfförmig beschrieben. Ursachen können sein: Diabetes, Umweltgifte, Alkohol.
Synonyme: neuropathisches Schmerzsyndrom, Nervenschmerzen.
Nerven sind vereinfacht dargestellt mit einem elektrischen Kabel zu vergleichen. Bei der Neuropathie kommt es zu Isolations- oder Kabelbrüchen. Dabei können Nerven, die für Gefühl oder Bewegung zuständig sind, Schmerznerven anregen. Typisches Beispiel ist die Trigeminusneuropathie oder -neuralgie, wo Berührung zu stärksten Schmerzattacken führt.
Treten die Beschwerden zuerst in den Beinen auf so liegt zumeist eine Schädigung der kleinen Nervenenden vor. Die Symptome sind Brennen und Gefühlstörungen, zumeist wird es als beidseitig auftretend und strumpfförmig beschrieben. Ursachen können sein: Diabetes, Umweltgifte, Alkohol.
Hierbei handelt es sich um eine Untersuchungsmethode, wie sie auch in unserer Praxis Anwendung findet. Nervenbahnen werden dabei ähnlich einem elektrischen Kabel durchgemessen.
Man unterscheidet:
Die Elektroneurografie (ENG) dient der Funktionsüberprüfung eines peripheren Nervs. Es werden unter anderem die Nervenleitgeschwindigkeiten, die Amplitude und die Refraktärzeit erfasst. Diese Messung findet beim Karpaltunnel oder N. ulnaris Syndrom Anwendung).
Als ereigniskorrelierte Potentiale (EPs) werden Wellenformen im Elektro-Enzephalogramm (EEG) bezeichnet, die von Sinneswahrnehmungen ausgelöst (evoziert) werden. Damit werden ganze Nervenbahnen (vom Fuß->Rückenmark->Gehirn) vermessen.
Zumeist wird ein Nerv durch Klebeelektroden leicht elektrisch gereizt und das Signal im Nervenverlauf abgegriffen. Nur bei speziellen Muskeluntersuchungen kommen dünne Nadeln zum Einsatz.
Der Name besteht aus zwei Wörtern: Knochen (osteo) und Knorpel (chondro). Bezeichnet einen Verschleiß der knorpeligen Bandscheiben sowie der angrenzenden Wirbel und Wirbelgelenke.
Knochenanbauten. Ähnlich wie beim Auto kommt es bei stark belasteten Teilen zum Verschleiß. Das kann zu einer Knochenreaktion führen, die durch vermehrtes Knochenwachstum zum Versuch der Stabilisierung von gelockerten Wirbelkörpern führen.
Genau wie bei akuten Nervenverletzungen führt auch eine chronische Schädigung zu Symptomen. Kommt es im Nervenbündel, welches in den verschiedenen Strängen ein- und ausgehende Signale transportiert, zu "Leitungsbrüchen" oder einem Schaden der Isolierung, können Berührungssignale auf die Schmerzfasern überspringen. So ist auch der Phantomschmerz ein Kurzschluss zwischen Nervenfasern.
Platelet-Rich Plasma; Plättchenreiches Plasma
Wird aus Eigenblut gewonnen und an geschädigte Sehnen, Bänder oder Gelenke injiziert. Dient der schnelleren Regeneration und damit einhergehenden Schmerztherapie. Wird im Schmerzzentrum als IGEL Leistung angeboten.
Unter Röntgenkontrolle wird eine Nadel in die unmittelbare Nähe von Nervenwurzeln (Radix) navigiert und ein Medikament injiziert. Schonende, ambulante und erfolgreiche Form der Schmerztherapie.
Aufnahmen von der Wirbelsäule zur Beurteilung von Veränderungen am Knochen, vor Operationen, zum Ausschluß von Knochenbrüchen und zur Verlaufskontrolle. Eine spezielle Vorbereitung der Patienten ist nicht notwendig. Moderne Röntgengeräte fertigen solche Aufnahmen mit einer geringen Strahlendosis an. Für alle, die sich genauer über die Auswirkung von Strahlen informieren wollen, empfiehlt sich ein Blick in Wikipedia.
Nervenzellen können lernen.
Wenn wir ein Gedicht auswendig lernen, müssen wir es ständig wiederholen;
wenn Schmerzen immer wieder auftreten, werden auch diese Lernvorgänge auslösen.
Akute Schmerzen sind überlebenswichtig, sie bewahren uns vor Schaden. Bei immer wieder auftretenden Schmerzen lenkt das Gehirn seine Aufmerksamkeit darauf: da ist irgendetwas nicht in Ordnung, da muss ich mal genauer hinschauen. In der Folge wird die Schmerzschwelle am Ort der Schmerzen erniedrigt, die Schmerzimpulse zum Hirn anderen Impulsen vorgezogen und schneller zum Hirn geleitet. Und auch das neuronale Netzwerk im Hirn ändert sich: so werden schmerzhafte Areale auf der Hirnoberfläche größer repräsentiert.
Mit der Zeit kann es vorkommen, dass es keine Ursache für den Schmerz mehr gibt, die Schmerzen aber weiter wahrgenommen werden. Es können dann normale Berührungen als schmerzhaft empfunden werden oder der Schmerz breitet sich sogar auf andere Körperregionen aus.
Das System ist dann mit einem übersteuerten Verstärker zu vergleichen, wo kleine Geräusche bereits eine massive Übersteuerung auslösen.
Neurowissenschaftler kennen die zugrunde liegenden molekularen und zellbiologischen Zusammenhänge:
- Änderung des neuronalen Netzwerkes
- biochemische Veränderungen der Nervenzellen und der Synapsen
- Anpassung der Schmerzsensoren
Ganz wichtig: Die Ausbildung eines Schmerzgedächtniss ist etwas ganz normales, manche Personen sind aber bevorzugt davon betroffen. Sicher hat es nichts mit einer erhöhten Empfindlichkeit (Weichei) zu tun. Auch "stellt sich keiner an", der unter chronischen Schmerzen leidet.
Synonyme: spinale Stenose, Verengung des Spinalkanals, Verengung des Knochenkanals.
Im Bereich der Halswirbelsäule kann es dadurch zu Druck auf das Rückenmark kommen (siehe cervikale Myelopathie)
Die Leitsymptomatik bei der Verengung im Lumbalbereich sind Schmerzen in beiden Oberschenkeln beim Laufen (Claudicatio spinalis=Schaufensterkrankheit)
Spinal Colum Stimulation, Stimulation der Rückenmarks-Hinterstrangbahnen
Synonyme: DCS, Neuromodulation
Indikationen sind vorwiegend neuropathische, ins Bein ziehende, chronische Schmerzen oder eine therapieresistente Angina pectoris.
Synonyme: Spondylarthrosis deformans
Arthrose der kleinen Wirbelgelenke. Diese kann, muß aber nicht mit Schmerzen (pseudoradikuläre Schmerzen, Facettensyndrom) einhergehen.
Im Röntgenbild sieht man vergrößerte und deformierte Wirbelgelenke.
Gleichbedeutend mit: Wirbelgleiten, Spondylolisthesis.
Ein Gleitwirbel liegt vor, wenn sich ein Wirbel gegenüber einem anderen verschoben hat, diese also nicht mehr in einer Linie stehen.
Da ein Wirbelgleiten zu einer Verengung des Wirbelkanals führt, sind die Beschwerden mit denen der Spinalkanalstenose vergleichbar: Schmerzen und Gangstörungen.
Fachbegriff für degenerative Veränderungen der Wirbelsäule, insbesondere der Bandscheiben und Wirbelgelenke.
Transkutane Elektrische Nervenstimulation
Was tun Sie wenn Sie sich gestoßen haben? ....Sie reiben an der Stelle!
Ähnliches macht das TENS-Gerät: Die Haut wird elektrisch stimuliert. Das führt zu einer direkten Schmerzblockierung und Aktivierung von zentrale Endorphinen. Es gibt so gut wie keine Nebenwirkungen bei sachgerechter Anwendung.
Das Wichtigste in Kürze:
Höhere Frequenzen:
-wirken durchblutungsfördernd, muskelstärkend
-höhere Frequenzen (50 –150 Hz) – niedrige Intensität
-eher Wirkung über Gate-Control Effect (Wall, Gunick, Devor)
-nicht durch Naloxon blockierbar
-Rezeptor und Leistungsschmerz
Niedrige Frequenzen:
-wirken schmerzstillend, beruhigend, gefäßerweiternd, endorphinstimulierend
-niedrige Frequenzen (1-5 Hz) – hohe Intensität (Nadelakupunktur)
-eher humorale Wirkung (Endorphine)
-durch Naloxon teilweise blockierbar (Pommeranz, 1987)
-Rezeptor, Leitungsschmerz, Störung der Schmerzverarbeitung zentral
-stärkere Analgesie
-längerer Überdauerungseffekt
Funktionsweise:
Nach der Gate-control-Theorie ist die Bandbreite der Informationsübermittlung im Rückenmark begrenzt. Wenn die schnellen A Fasern Impulse senden blockieren sie die langsamen C Fasern. Das ist evolutionär sinnvoll, da die Informationen der A Fasern wichtiger Informationen leiten und uns vor akuter Verletzung schützen.
